تخطيط صدى القلب (إيكو القلب ) هو فحص بسيط وسريع يتم إجراؤه بواسطة الموجات الصوتية (الأولتراساوند) من أجل فحص أداء القلب. تتحرك الأمواج الصوتية بصورة متفاوتة، فتعطينا سلسلة من الصور المتحركة لمختلف أقسام القلب، والتي يمكننا مشاهدتها عبر شاشة الجهاز. يعطينا تخطيط القلب معلومات قيمة عن أي خل في صمامات القلب أو القلب بشكل عام. يمكن القيام بذلك من خلال طرق مختلفة اعتماداً على مشكلة قلبك.

ما هو تخطيط صدى القلب؟
تخطيط صدى القلب ، والمعروف أيضاً باسم إيكو القلب ، هو فحص غير مؤلم يستخدم لتشخيص تشوهات القلب مثل تلف أنسجة القلب بسبب النوبة القلبية، أو ضعف أداء صمامات القلب. يستخدم تخطيط صدى القلب ( إيكو القلب ) الموجات فوق صوتية لتصوير القلب ، وتردد هذه الموجات لصدى القلب. يمكنهم عرض شكل وحجم وحركة الأذينين والبطينين والصمامات في القلب. يمكن أن يُظهر تخطيط صدى القلب أيضًا تدفق الدم عبر القلب.
ما هو الهدف من مخطط صدى القلب (إيكو القلب)؟
يستخدم هذا الاختبار التشخيصي للعثور على بعض أمراض القلب والأوعية الدموية المحتملة. يعد مخطط صدى القلب من أكثر الاختبارات استخداماً لتشخيص أمراض القلب. يمكن أن يوفر تخطيط صدى القلب الكثير من البيانات المفيدة ، بما في ذلك حجم وشكل قلبك ، وموقع ومدى أي تلف في أنسجة القلب وقوة ضخ القلب للدم.


وصف مخطط صدى القلب (جهاز إيكو القلب)
طريقة تخطيط صدى القلب عبر الصدر (TTE)
تشبه هذه الطريقة المسح بالموجات فوق الصوتية الشائع استخدامه لتصوير الجنين أثناء الحمل (إيكو الحمل). يطلب من المريض الاستلقاء على سرير الفحص على جانبه الأيسر. يقوم الطبيب بوضع قليل من الجل على الصدر، ثم يوجه الموجات فوق الصوتية إلى الصدر التي تعكس بعض الموجات (صدى) للجهاز.
تخطيط صدى القلب ثلاثي الأبعاد 3D
تعرض هذه التقنية من التشخيص عادةً صورة ثلاثية الأبعاد للقلب بالإضافة إلى صورة مسطحة. من المفيد تحديد اكتشاف المشكلات المتعلقة بصمامات القلب والحجرات اليسرى السفلية.

تخطيط صدى القلب عبر المريء (ICE)
تعرض هذه الطريقة شكلاً أحدث للاختبار والصور التفصيلية التي يتم التقاطها من داخل القلب. يستخدم مخطط القلب من المريء في الغالب لمراقبة العلاجات التي تنطوي على وضع أنابيب رقيقة (قسطرة) داخل شرايين القلب.
تخطيط صدى القلب تحت الجهد
تحدث بعض مشكلات القلب خاصة تلك التي تنطوي على الشرايين التي تمد عضلة القلب بالدم (الشرايين التاجية) في أثناء النشاط البدني فقط. قد يوصي الطبيب بإجراء مخطط صدى القلب تحت الجهد للتحقق من وجود مشاكل في الشريان التاجي. يتم التقاط مجموعتين من الصور ، الأولى بعد سير الشخص على جهاز المشي أو ركوبه لدراجة ثابتة مباشرة والثانية في حالة الراحة. إذا كانت حالة قلبك تمنع أداء التمرين ، فسيتم وصف الأدوية المحفزة قبل الإيكو و تسمى تخطيط صدى القلب الدوائي.


مخطط صدى القلب عبر المريء
في هذا التخطيط ، يتم توجيه مسبار خاص بالموجات فوق الصوتية إلى فم المريض وأسفل المريء بعد التخدير المناسب. بعد ذلك ، يمكن للأطباء الحصول على صور أفضل ، حيث أن مواقع القلب والمريء قريبة من بعضها البعض وليست هناك حاجة لتوجيه الموجات فوق الصوتية بالمرور عبر العضلات أو الجلد أو العظام.
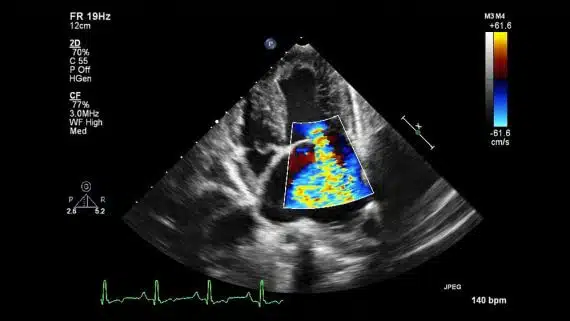
تخطيط صدى القلب الدوبلر الملون
تُستخدم هذه الطريقة لتقييم و قياس تدفق الدم عبر صمامات و غرف القلب. حيث تعتبر كمية الدم التي تضخ مع كل نبضة من نبضات القلب المؤشر على عمل القلب. يمكن أيضاً لمخطط صدى القلب ( إيكو القلب ) الدوبلر اكتشاف تشوهات تدفق الدم داخل الحاجز القلبي.









