
جراحة الساد (إعتام عدسة العين):
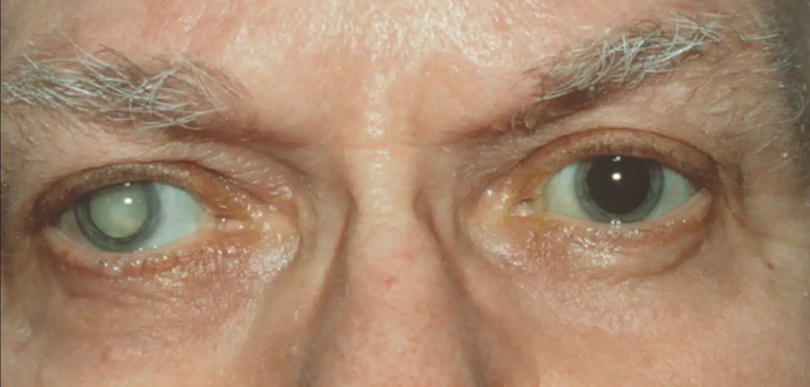
إعتام عدسة العين، هو تغيم عدسة العين التي تكون صافية في حالتها الطبيعية. بالنسبة للأشخاص الذين يعانون من إعتام عدسة العين، تكون الرؤية لديهم من خلال العدسات الغائمة أشبه إلى حد ما بالنظر من نافذة متجمدة أو ضبابية. قد تزيد الرؤية الغائمة التي تسببها إعتام عدسة العين من صعوبة القراءة، أو قيادة السيارة (خاصةً في الليل)، أو مشاهدة التعبير على وجه صديق. تتطور معظم حالات إعتام عدسة العين بالتدريج، ولا تُشوّش البصر في مرحلة مبكرة. ولكن مع مرور الوقت، سيتداخل إعتام عدسة العين في النهاية مع رؤيتك. في البداية، قد تساعد الإضاءة القوية والنظارات في التعامل مع إعتام عدسة العين. ولكن إذا حال ضعف البصر دون أنشطتك المعتادة، فقد تحتاج إلى جراحة الساد لعلاج إعتام عدسة العين. ولحسن الحظ، فإنَّ إجراء جراحة الساد لإعتام عدسة العين يعد آمناً وفعالاً.


[table id=82 /]

أسباب الساد:
يؤدي التقدم بالعمر وبعض الحالات الطبية الأخرى إلى حدوث خلل بالأنسجة داخل العدسة. يُمكن أن تزيد بعض الاضطرابات الوراثية الموروثة التي تسبب مشاكل صحية من خطر الإصابة بالساد. ومع تقدم العمر ، تصبح مرونة وشفافية عدسات العين أقل وأكثر سمكاً. التغييرات التي تحدث مع تقدم العمر تؤثر على إعتام عدسة العين التي تزداد حدة مع تقدم المرض. ويمكن أن يحدث الساد في عين واحدة أو في كلتا العينين.
كيف تتم جراحة الساد؟
ستتم إزالة العدسة المتضررة واستبدالها بزرعة شفافة تسمى عدسة داخل العين وذلك من أجل استعادة المرضى القدرة على الإبصار. تتم جراحة الساد (إعتام عدسة العين) بعمل شق صغير في سطح العين الأمامية باستخدام المشرط أو الليزر. يمكن للليزر تكسيرعدسة العين إلى قطع صغيرة لتسهيل عملية إزالتها. عادة تلتئم العينان بسرعة بعد الجراحة ، ولا حاجة إلى الغرز. وفي الوقت الحاضر ، يمكن لليزر الذي يتم التحكم فيه بواسطة الكمبيوتر إكمال العديد من خطوات جراحة الساد، وبالتالي تقليل المخاطر التي تنطوي عليها هذه الجراحة بشكل ملحوظ.



كم تبلغ تكاليف جراحة الساد؟
إن تكلفة جراحة الساد للأشخاص الذين لا يغطيهم التأمين الصحي أعلى بقليل من تكلفة الآخرين. إذ يعتمد المبلغ الفعلي المدفوع لعملية الساد لدى الأشخاص الذين لا يغطيهم التأمين على عدة عوامل ، بما في ذلك نوع العدسة اللاصقة التي يتم وضعها في العين ، ونوع التقنية المستخدمة أثناء العملية ، ومهارة وخبرة الجراح. لحسن الحظ ، يغطي التأمين الصحي عادة معظم العمليات الجراحية لإعتام عدسة العين بشكل كامل أو جزئي . إذا اخترت عملية إعتام عدسة العين أحادية البؤرة القياسية ، فقد يتم تنفيذ هذا الإجراء بتكلفة منخفضة (باستثناء الإعفاءات ومدفوعات التأمين المشترك). ولكن إذا قمت باختيار جراحة الساد أو عدسات العين متعددة المراكز لتصحيح الاستجماتيزم أو طب العيون من قبل إسلام أون لاين ، فمن المرجح أن تدفع أكثر مقابل هذه التقنيات والعدسات المتقدمة.
- يمكنك ملاحظة متوسط تكلفة عملية الساد في الهند بأنها أعلى بنسبة 60٪ من تكلفة عملية الساد في إيران.
- يمكنك ملاحظة متوسط تكلفة عملية الساد في ماليزيا بأنها أعلى بنسبة 100٪ من تكلفة عملية الساد في إيران.
- يمكنك ملاحظة متوسط تكلفة عملية الساد في تايلندا بأنها أعلى بنسبة 70٪ من تكلفة عملية الساد في إيران.
- يمكنك ملاحظة متوسط تكلفة عملية الساد في تركيا بأنها أعلى بنسبة 90٪ من تكلفة عملية الساد في إيران.
- يمكنك ملاحظة متوسط تكلفة عملية الساد في ألمانيا بأنها أعلى بنسبة 170٪ من تكلفة عملية الساد في إيران.
- يمكنك ملاحظة متوسط تكلفة عملية الساد في الإمارات العربیه المتحده بأنها أعلى بنسبة 135٪ من تكلفة عملية الساد في إيران.
- يمكنك ملاحظة متوسط تكلفة عملية الساد في إسبانيا بأنها أعلى بنسبة 200٪ من تكلفة عملية الساد في إيران.
- يمكنك ملاحظة متوسط تكلفة عملية الساد في بريطانيا بأنها أعلى بنسبة 235٪ من تكلفة عملية الساد في إيران.
- يمكنك ملاحظة متوسط تكلفة عملية الساد في أسترالیا بأنها أعلى بنسبة 270٪ من تكلفة عملية الساد في إيران.
- يمكنك ملاحظة متوسط تكلفة عملية الساد في الولايات المتحدة الأمريكية بأنها أعلى بنسبة 335٪ من تكلفة عملية الساد في إيران.
- يمكنك ملاحظة متوسط تكلفة عملية الساد في كندا بأنها أعلى بنسبة 300٪ من تكلفة عملية الساد في إيران.
مزايا جراحة الساد
تعتبر الجراحة هي الطريقة الوحيدة الفعالة لعلاج إعتام عدسة العين. يوصي معظم الأطباء بإجراء جراحة الساد للمرضى الذين يؤثر إعتام عدسة العين على نوعية حياتهم أو يضعف من قدرتهم على القيام بأنشطتهم اليومية مثل القراءة والقيادة ،. تنطوي جراحة الساد على استبدال العدسات المعتمة بالعدسات المزروعة والبلاستيكية. وتصبح العدسات المستبدلة جزءاً من العين مثل عدسات العين الطبيعية.


هل اضطراب الساد ( إعتام عدسة العين) شائع فقط بين كبار السن؟
الجواب هو نعم ، إذ أن فرص إجراء جراحة الساد (إعتام عدسة العين) أعلى بين المرضى الذين تزيد أعمارهم عن 50 عاماً. سيحتاج جميع الأشخاص تقريباً الذين تزيد أعمارهم عن 75 عاماً لإجراء هذه الجراحة. ومع ذلك ، يعد الساد الخلقي (إعتام عدسة العين الخلقي) حالة نادرة ولكنها ممكنة الحدوث بين الأطفال. تتزايد حالات الساد الخلقي (إعتام عدسة العين الخلقي) بين الأطفال الذين تكون أمهاتهن مصابات بجدري الماء أو يعض الأمراض المعدية الأخرى أثناء الحمل. كما يمكن أيضاً أن يكون إعتام عدسة العين عند الأطفال وراثياً.

ما هي الخطوات الأساسية ما قبل جراحة الساد؟
عادة يُطلب من المرضى عدم شرب أو تناول أي شيء لمدة 12 ساعة قبل جراحة الساد (إعتام عدسة العين) . يحتاج المرضى أيضاً إلى التوقف عن تناول أي أدوية أخرى مؤقتاً قبل الجراحة ، لأنها قد تزيد من خطر النزيف أثناء العملية. ولهذا يجب على المريض إبلاغ الطبيب عن الأدوية التي يتناولها قبل بدء الجراحة.

ما يجب تجنبه بعد جراحة الساد؟
خلال الأسابيع القليلة الأولى من الشفاء بعد جراحة الساد ، من المهم تجنب مايلي:
- النشاط المكثف ورفع ثقيل (أكثر من 25 رطلاً).
- الانحناء ، والتمرين ، والأنشطة المماثلة التي قد تؤثر على عينيك أثناء الشفاء.
- يجب عدم ملامسة الماء للعين لأنه قد يسبب العدوى.
- حافظ على عينيك مغلقة أثناء الاستحمام.
- تجنب أيضاً الحمامات الساخنة أو الحمامات لمدة أسبوعين على الأقل.
- أي نشاط يعرّض عينيك للغبار أو التلوث أو أي ملوثات معدية أخرى.

ما هي الآثار الجانبية المحتملة لجراحة الساد؟
من الممكن حدوث بعض المضاعفات مثل أي جراحة أخرى. وتشمل هذه المضاعفات ما يلي: الألم والتورم والعدوى والنزيف. لحسن الحظ ، قد يعاني عدد قليل فقط من الأشخاص من هذه المضاعفات بعد الجراحة. وباتباع التعليمات التي يقترحها طبيبك بعد جراحة الساد (إعتام عدسة العين) يمكن أن تقلل من خطر الآثار الجانبية بعد العملية بشكل كبير. أبلغ طبيبك عن أي أعراض غير عادية على الفور لإدارة المزيد من المخاطر بعد الجراحة.







