ما هو تقليح الاسنان؟
يتم إجراء تقليح الأسنان بشكل روتيني لمساعدة المرضى الذين يعانون من أمراض اللثة وتراكم البلاك المفرط. في حين أن التنظيف الروتيني للأسنان يعالج الترسبات على سطح السن فقط ، بينما يكون القليح أعمق بكثير. إذا اقترح طبيب أسنانك إجراء تقليح لأسنانك ، فمن المفيد أن تعرف ما يعنيه هذا الإجراء حتى تتمكن من الاستعداد لما هو قادم.

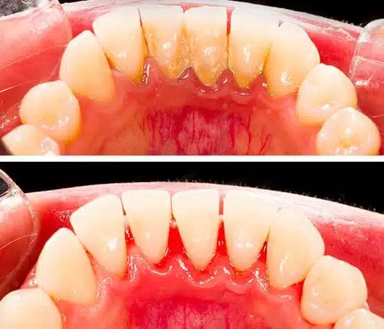
التقليح وكشط الجذر
التقليح وكشط الجذر هو تنظيف عميق أسفل خط اللثة يستخدم لعلاج أمراض اللثة.

من يحتاج إجراء التقليح وكشط الجذر ؟
ينتج عن أمراض اللثة طبقة لزجة من البكتيريا تسمى البلاك. يتشكل البلاك دائمًا على أسنانك ، ولكن إذا لم يتم تنظيفها جيداً ، يمكن أن تتسبب البكتيريا الموجودة في البلاك في التهاب اللثة. وعندما يحدث التهاب اللثة ستبتعد لثتك عن أسنانك وتشكل فراغات تسمى الجيوب. ثم يتم حبس البلاك في هذه الجيوب ولا يمكن إزالته بالفرشاة العادية. إذا لم يتم علاجها ، فقد تؤدي أمراض اللثة إلى فقدان العظام والأسنان.

ماذا يحدث أثناء التقليح وكشط الجذر؟
يتكون هذا التنظيف العميق من جزأين. يبدأ التقليح عندما يزيل طبيب أسنانك كل البلاك والجير (البلاك المتصلب) فوق وتحت خط اللثة ، مع التأكد من التنظيف الكامل حتى أسفل الجيب. سيبدأ طبيب أسنانك بعد ذلك في كشط الجذر ، وتنعيم جذور أسنانك لمساعدة لثتك على إعادة الالتصاق بأسنانك. قد يستغرق التقليح وكشط الجذور أكثر من زيارة واحدة حتى يكتمل وقد يتطلب تخديراً موضعياً.

بماذا أشعر عند إجراء التقليح؟
يمكن أن يكون تقليح الأسنان غير مريح ، خاصة إذا كنت تعاني من حساسية في اللثة . قد يقوم طبيب أسنانك بإعطائك مخدراً موضعياً لتخدير أنسجة اللثة وجعل الإجراء أكثر راحة لك. تحدّث مع مقدم رعاية الأسنان الخاص بك حول الخيارات المتاحة لك لإزالة حساسية المنطقة إذا كنت قلقًا بشأن الألم أو عدم الراحة أثناء الإجراء.

متى يكون تقليح الأسنان ضرورياً؟
كل شخص يعاني من شكل من أشكال تراكم البلاك. يشكل اللعاب والبكتيريا والبروتينات في فمك طبقة رقيقة تغطي أسنانك في جميع الأوقات تقريباً. عندما تأكل ، تلتصق الجزيئات الدقيقة والأحماض والسكريات من الطعام بهذا الشكل ، مما يؤدي إلى تراكم الأسنان المعروف باسم البلاك. يمكن للبكتيريا التي تعيش في هذا البلاك إلى أن تسبب أمراض اللثة وتسوس الأسنان. يساعد التنظيف المنتظم بالفرشاة والخيط والتنظيف الدوري عند طبيب الأسنان على إزالة البلاك ومنع حدوث مشاكل أكثر خطورة.

نصائح العناية بعد إجراء التقليح
بعد التنظيف العميق ، قد تشعر بالألم لمدة يوم أو يومين وحساسية الأسنان لمدة تصل إلى أسبوع. قد تتورم لثتك أيضاً وتشعر بألم ونزيف.
