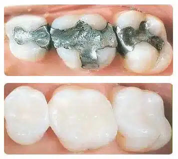
الحشوة الضوئية أو الراتنج المركب السني (يُشار إليه بشكل أفضل باسم المركبات القائمة على الراتنج أو ببساطة الراتنجات المملوءة) هي أنواع من الراتنجات الاصطناعية التي تستخدم في طب الأسنان كمواد ترميمية أو مواد إلصاق. كما تمتلك راتنجات الأسنان المركبة (الكومبوزيت) خصائص معينة تفيد المرضى حسب النخر الذي يعاني منه.


طريقة الاستخدام والتطبيق السريري
تمتلك الراتنجات المركبة اليوم انكماشاً تصلبياً منخفضاً ومعامل تقلص حراري منخفض، مما يسمح بوضعها بكميات كبيرة مع الحفاظ على التكيف الجيد مع جدران التجويف. يتطلب وضع المركب اهتماماً دقيقاً بالإجراء أو قد يفشل مبكراً. يجب الحفاظ على السن جافاً تماماً أثناء وضع المومبوزيت أو من المحتمل أن يفشل الراتنج في الالتصاق بالسن. توضع المركبات في حين ما تزال في حالة ناعمة تشبه العجين، ولكن عند تعرضها لضوء بطول موجة زرقاء (عادة 470 نانومتر)، فإنها تتبلمر وتتصلب، ومن الصعب تصليب المركب بالكامل نظراً لأن الضوء غالباً لا يخترق أكثر من 2-3 مم من الحشوة.
إذا وُضعت كمية كبيرة جداً من الحشوة في السن، سوف يبقى المركب ليناً جزئياً، ويمكن أن يؤدي هذا المركب الناعم غير المتبلمر في نهاية المطاف إلى ارتشاح مونوميرات حرة ذات سمية و/أو تسرب حفافي يؤدي إلى نكس النخر. يجب أن يضع طبيب الأسنان المركب في الحشوة العميقة على دفعات متعددة، تغطي كل دفعة 2-3 مم بالكامل قبل إضافة الدفعة التالية. بالإضافة إلى ذلك، يجب أن يكون الطبيب حريصاً على ضبط العضة في الحشوة، التي يمكن أن تكون صعبة. إذا كانت الحشوة عالية -حتى بكمية بسيطة- فقد يؤدي ذلك إلى حساسية عند المضغ على السن. إن المركب الموضوع بشكل صحيح مريح، وذو مظهر جيد، وقوي ومتين، ويمكن أن يدوم 10 سنوات أو أكثر.
مزايا الحشوة الضوئية (الكومبوزيت):
- المظهر: الميزة الرئيسية المباشرة لحشوة الأسنان الكومبوزيت بالمواد التقليدية مثل الأملغم هو تحسين محاكاة أنسجة الأسنان. حيث يمكن أن الحشوة الضوئية الكومبوزيت ذات مجموعة واسعة من الألوان مما يسمح بترميم الأسنان بشكل غير مرئي تقريباً. ويمكن أن يتطابق لون حشوة الكومبوزيت بشكل وثيق مع لون الأسنان الموجودة.
- الارتباط ببنية الأسنان: حشوات الكومبوزيت ترتبط ميكانيكياً ببنية الأسنان مما يقوي بنية السن ويعيد سلامته البنيوية الأصلية. إن اكتشاف النقش الحمضي (الذي ينتج عنه عدم انتظام في المينا يتراوح من 5 إلى 30 ميكرومتر في العمق) للأسنان للسماح برابطة ميكانيكية دقيقة مع السن يسمح بالتصاق جيد للترميم بالسن. يمكن تحقيق قوة ارتباط عالية جداً بهيكل الأسنان ، سواء المينا أو العاج ، باستخدام الجيل الحالي من عوامل ربط العاج.

- التحضير للحفاظ على الأسنان: حقيقة أن حشوات الكومبوزيت ملتصقة بالأسنان تعني أنه على عكس حشوات الملغم ، ليس هناك حاجة لطبيب الأسنان لخلق ميزات تحفظية لبرد الأسنان السليمة. على عكس الأملغم ، الذي يملأ ثقباً ويعتمد على هندسة الثقب للاحتفاظ بالحشو ، يتم إلصاق مواد الكومبوزيت بالسن. من أجل تحقيق الهندسة اللازمة للاحتفاظ بحشوة الأملغم ، قد يحتاج طبيب الأسنان إلى حفر كمية كبيرة من بنية الأسنان الصحية. في حالة الترميم بالكومبوزيت ، تكون هندسة الثقب (أو “النخر”) أقل أهمية بسبب روابط حشوة الكومبوزيت بالسن. لذلك يجب إزالة الأجزاء المنخورة فقط من أجل ترميم السن بالكومبوزيت.
- بديل أقل تكلفة وأكثر ملائمة لتيجان الأسنان: في بعض الحالات ، قد يتم تقديم الترميم بالحشوات الضوئية الكومبوزيت كبديل أقل تكلفة (على الرغم من أنه قد يكون أقل متانة) لتيجان الأسنان ، والذي يمكن أن يكون علاجاً مكلفاً للغاية. عادةً ما يتطلب تركيب تاج الأسنان برد جزء من الأسنان الصحية المهمة بحيث يتلاءم التاج مع السن الطبيعي أو داخله. يحافظ الترميم بالكومبوزيت على المزيد من الأسنان الطبيعية.
- تعتبر الحشوات الضوئية بديلاً عن إزالة الأسنان: نظراً لأن الترميم بالكومبوزيت يرتبط بالسن ويمكنه استعادة السلامة البنيوية الأصلية للأسنان التالفة أو المنخورة ، في بعض الحالات يمكن أن يحافظ الترميم بالكومبوزيت على الأسنان التي قد لا تكون قابلة للإصلاح بواسطة الترميم بالأملغم. على سبيل المثال ، وذلك على حسب الموقع ومدى تلف السن ، قد لا يكون من الممكن إنشاء حفرة الهندسة الضرورية للاحتفاظ بحشوة الأملغم.

- تعدد الاستخدامات: يمكن استخدام حشوات الكومبوزيت لإصلاح الأسنان المتكسرة أو المكسورة أو البالية التي لا يمكن إصلاحها باستخدام حشوات الأملغم.
- قابلية الإصلاح: في كثير من حالات التلف الطفيف لحشوات الكومبوزيت ، يمكن إصلاح التلف بسهولة عن طريق إضافة مركب إضافي. بينما قد تتطلب حشوة الأملغم استبدالاً كاملاً.

- انخفاض كمية الزئبق المنبعثة في البيئة: يمكن تجنب التلوث البيئي الناتج عن الزئيق من خلال استخدام الحشوات الضوئية هذه. فعندما يتم حفر حشوات الأملغم لتعديل الارتفاع أو الإصلاح أو الاستبدال ، فإن بعض جزيئات الأملغم المحتوي على الزئبق يتم تصريفه حتماً في المجاري. (انظر الجدل حول أملغم الأسنان – التأثير البيئي) عندما يتم تحضير حشوات الأملغم من قبل أطباء الأسنان ، قد يتم التخلص بشكل غير صحيح من المواد الزائدة في مكبات النفايات أو حرقها. حرق الجثث المحتوية على حشوات أملغم يطلق الزئبق في البيئة.
- الحد من تعرض أطباء الأسنان للزئبق: يؤدي تحضير حشوات أملغم جديدة والحفر في حشوات الأملغم الموجودة إلى تعريض أطباء الأسنان لبخار الزئبق. يؤدي استخدام الحشوات الضوئية الكومبوزيت إلى تجنب هذه المخاطر ما لم يتضمن الإجراء أيضاً إزالة حشوة الأملغم الموجودة. وجدت مقالة مراجعة دراسات تشير إلى أن عمل الأسنان الذي يتضمن الزئبق قد يكون خطراً مهنياً فيما يتعلق بالعمليات الإنجابية ، والورم الأرومي الدبقي (سرطان الدماغ) ، وتغيرات وظائف الكلى ، والحساسية ، والتأثيرات السمية المناعية.

- قلة التآكل: على الرغم من أن التآكل لم يعد مشكلة رئيسية مع حشوات الأملغم ، فإن مركبات الراتنج لا تتآكل على الإطلاق. (كانت الحشوات منخفضة النحاس ، المنتشرة قبل عام 1963 ، أكثر عرضة للتآكل من الحشوات الحديثة عالية النحاس).
عيوب الحشوات الضوئية الكومبوزيت
- انكماش الحشوة الكومبوزيت والتسوس الثانوي: في الماضي ، عانت راتنجات الكومبوزيت من انكماش كبير أثناء المعالجة ، مما أدى إلى واجهة ربط رديئة. يسمح الانكماش بالتسرب الدقيق ، والذي ، إذا لم يتم اكتشافه مبكراً ، يمكن أن يتسبب في تسوس ثانوي (تسوس لاحق) ، وهو العيب الأكثر أهمية للأسنان في الترميم بالحشوات الضوئية الكومبوزيت. في دراسة أجريت على 1748 عملية ترميم ، كان خطر التسوس الثانوي في الحشوات الضوئية يزيد 3.5 مرة عن خطر التسوس الثانوي في مجموعة حشوات الأملغم. يمكن لنظافة الأسنان الجيدة والفحوصات المنتظمة أن تخفف من هذا العيب. تحتوي معظم حشوات الكومبوزيت الهجينة الدقيقة والنانوية الهجينة الحالية على انكماش بلمرة يتراوح من 2٪ إلى 3.5٪. يمكن تقليل الانكماش للكومبوزيت عن طريق تغيير التركيب الجزيئي والكتلي للراتنج. في مجال المواد التصالحية للأسنان ، تم تحقيق الحد من الانكماش المركب مع بعض النجاح. من بين أحدث المواد ، يُظهر راتنج السيلوران انكماشاً أقل للبلمرة ، مقارنةً بالديميثاكريلات.

- المتانة: في بعض الحالات ، قد لا تدوم الحشوات الضوئية طالما حشوات الأملغم تحت ضغط المضغ ، خاصة إذا استخدمت في التجاويف الكبيرة.
- التفتيت: يمكن لمواد الحشوة الضوئية أن تتسبب في تفتيت السن.
- المهارة والتدريب المطلوب: ترتبط النتائج الناجحة المباشرة في الحشوات الضوئية الكومبوزيت بمهارات الطبيب وتقنية التنسيب. على سبيل المثال ، تم تصنيف السد المطاطي على أنه مهم لتحقيق طول العمر ومعدلات كسر منخفضة مماثلة للأملغم في تجاويف الدرجة الثانية القريبة الأكثر تطلباً للترميم.
- الحاجة إلى إبقاء منطقة العمل في الفم جافة تماماً: يجب أن تكون السن المحضرة جافة تماماً (خالية من اللعاب والدم) عند وضع مادة الراتينج ومعالجتها. يصعب الحفاظ على الأسنان الخلفية (الأضراس) جافة. قد يكون الحفاظ على السن المحضر جافاً تماماً أمراً صعباً أيضاً لأي عمل يتضمن معالجة التجاويف عند أو أسفل خط اللثة.

- الوقت والمصاريف: بسبب إجراءات التطبيق المعقدة أحياناً والحاجة إلى الحفاظ على السن المحضر جافًا تماماً ، قد تستغرق عمليات الترميم بالحشوات الضوئية الكومبوزيت يصل إلى 20 دقيقة أطول من عمليات ترميم الأملغم المكافئة. قد يؤدي قضاء وقت أطول على كرسي الأسنان إلى اختبار صبر الأطفال ، مما يجعل الإجراء أكثر صعوبة بالنسبة لطبيب الأسنان. نظراً لطول الوقت ، قد تكون الرسوم التي يتقاضاها طبيب الأسنان للترميم بالكومبوزيت أعلى من أجور حشوات الأملغم.
- تغطية تأمينية محدودة: قد تقدم بعض خطط التأمين على الأسنان تعويضاً عن الترميم ابالحشوات الضوئية فقط على الأسنان الأمامية حيث تكون ترميمات الأملغم غير مقبولة بشكل خاص لأسباب تجميلية. وبالتالي ، قد يُطلب من المرضى دفع الرسوم الكاملة للترميمات بالكومبوزيت على الأسنان الخلفية. على سبيل المثال ، تذكر إحدى شركات التأمين على الأسنان أن معظم خططها ستدفع مقابل حشوات الراتنج (أي الكومبوزيت) فقط “على الأسنان حيث تكون فائدتها التجميلية بالغة الأهمية: الأسنان الأمامية الستة (القواطع والأطراف) وعلى الوجه (جانب الخد) أسطح الأسنان التالية (ثنائية الشرفات) “. حتى إذا تم دفع الرسوم عن طريق التأمين الخاص أو البرامج الحكومية ، يتم دمج التكلفة الأعلى في أقساط التأمين على الأسنان أو معدلات الضرائب.

ما هي الخطوات المتبعة في حشو السن؟
أولاً ، سيستخدم طبيب الأسنان مخدراً موضعياً لتخدير المنطقة حول السن المراد حشوها. بعد ذلك ، سيتم استخدام مثقاب أو أداة البرد بالهواء أو الليزر لإزالة المنطقة المتحللة. بمجرد إزالة التسوس ، يقوم طبيب الأسنان بتجهيز المساحة للحشو عن طريق تنظيف التجويف من البكتيريا والفتات.
إذا كان التسوس بالقرب من الجذر ، فقد يضع طبيب أسنانك أولاً بطانة مصنوعة من الزجاج الشارد أو الراتنج المركب أو مادة أخرى لحماية العصب. بشكل عام ، بعد الحشو ، سينهي طبيب أسنانك عملية الحشو وتلميعها. عدة خطوات إضافية مطلوبة للحشو بلون الأسنان. بعد أن يقوم طبيب الأسنان بإزالة التسوس وتنظيف المنطقة ، يتم وضع المادة الملونة بالأسنان على شكل طبقات. بعد ذلك ، يتم تطبيق ضوء خاص “يعالج” أو يصلّب كل طبقة. عند اكتمال عملية الطبقات المتعددة ، يقوم طبيب الأسنان بتشكيل مادة الكومبوزيت إلى النتيجة المرجوة ، وبرد أي مادة زائدة ، وتلميع الترميم النهائي.