- Heart treatment , Infertility treatment , Dental implant , Rhinoplasty , Nose job hair Transplant

Cosmetic dental treatments can:
- Brighten stained or discolored teeth
- Repair cracks or fractures
- Fill gaps between teeth
- Correct overcrowding
- Reshape teeth
- Replace missing teeth
- Replace old metallic restorations, such as fillings and crowns
- Dental Implant, Cosmetic dentistry
Cosmetic dentistry costs in Iran:
Medical tourism is a new, growing trend in Iran because of all these top quality dentists who are operating different types of cosmetic dentistry procedures. It’s too efficient and economical to have your cosmetic dentistry done in Iran in comparison with other countries of the world. You can get the advantage of the best quality and the best price at the same time. Patients’ satisfaction is one of the reasons that make people to undergo their cosmetic dentistry in Iran. The top-notch quality of cosmetic dentistry operations as well as the low price of these procedures in Iran has caused a massive population of people around the world to be pulled into this country. Iran gets a vast number of foreigners annually who seek to have their cosmetic dentistry procedures in Iran.

Types of Cosmetic Dentistry:
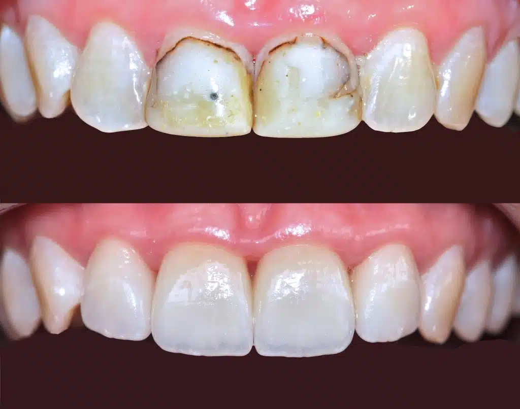
Teeth Whitening
Teeth whitening is the most popular, least expensive and most straightforward of all the cosmetic dentistry procedures. As the name implies, teeth whitening techniques correct the discoloration in teeth. In the teeth whitening procedure, teeth are thoroughly cleaned to eliminate plaque, tartar and food debris from the tooth’s crevices. Depending on the quantity of discoloration, cosmetic dentists also use bleaching agents for teeth whitening. When it comes to tooth-whitening, you’ve got two options: in-office-based teeth bleaching, or at-home care. Dentists use a stronger bleaching agent than that found in commercial products, so in-office whitening treatment has more dramatic effect on teeth with yellow stains. Over-the-counter products with bleach provide some change in the tooth color, and whitening toothpaste works only on surface stains. Bleaching does not leave teeth permanently white. Whitening can last from six months to a year. Sometimes teeth stay white even longer. However, smoking or consumption of food and beverages that stain can cause discoloration within one month. Dental Implant, Cosmetic dentistry The best result is the combination of office & home bleaching.

Porcelain Veneers
Porcelain veneers are wafer-thin, custom-made shells of tooth-colored materials designed to cover the front surface of teeth to improve your appearance. These shells are bonded to the front of the teeth, changing their color, shape, size or length. What Types of Problems Do Porcelain Veneers Correct?
- Teeth that are discolored — either because of root canal treatment, stains from tetracycline or other drugs, excessive fluoride or the presence of large resin fillings that have discolored the tooth
- Teeth that are worn down
- Teeth that are chipped or broken
- Teeth that are misaligned, uneven or irregularly shaped
- Teeth with gaps between them
Porcelain veneers are stronger and more durable than composite resin veneers and last 10 to 15 years, while composite resin veneers last between five and seven years. Porcelain veneers also resist stains better than resin veneers and better mimic the light reflecting properties of natural teeth. As you might assume, porcelain veneers cost significantly more than composite veneers.
- Heart treatment , Infertility treatment , Dental implant , Rhinoplasty , Nose job hair Transplant



Composite Veneers
Like all veneers, composite resin veneers are used to improve the overall appearance of teeth by changing their shape and color. Composite veneers are used to treat multiple cosmetic dental issues including things like stained teeth, crooked teeth, chipped or cracked teeth or to fill in gaps between existing teeth. While other types of veneers can require multiple visits to the dentist and usually involve some drilling or reshaping of existing teeth, composites usually require little to no tooth reduction during the treatment process. The composite material is usually applied to the outer surface of the tooth and molded into shape by the dentist, making it a fairly quick but effective treatment. While composite veneers don’t tend to last as long as porcelain veneers and don’t have quite the same transformative impact, they can be a great way of transforming a smile for far less of an investment. It’s the best way of fixing minor cosmetic damage to teeth and can be used to fix a wide range of dental issues.
- Heart treatment , Infertility treatment , Dental implant , Rhinoplasty , Nose job hair Transplant
Dental Implants
Dental implant surgery is a procedure that replaces tooth roots with metal, screw-like posts and replaces damaged or missing teeth with artificial teeth that look and function much like real ones. Dental implant surgery can offer a welcome alternative to dentures or bridgework that doesn’t fit well. How dental implant surgery is performed depends on the type of implant and the condition of your jawbone. Dental implant surgery may involve several procedures. The major benefit of implants is solid support for your new teeth — a process that requires the bone to heal tightly around the implant. Because this healing requires time, the process can take many months.


Why it’s done
Dental implants are surgically placed in your jawbone, where they serve as the roots of missing teeth. Because the titanium in the implants fuses with your jawbone, the implants won’t slip, make noise or cause bone damage the way that fixed bridgework or dentures might. And the materials can’t decay like your own teeth that support regular bridgework can. In general, dental implants may be right for you if you:
- Have one or more missing teeth
- Have a jawbone that’s reached full growth
- Have an adequate bone to secure the implants or are able to have a bone graft
- Have healthy oral tissues
- Don’t have health conditions that will affect bone healing
- Are unable or unwilling to wear dentures
- Want to improve your speech
- Are willing to commit several months to the process
If your jawbone isn’t thick enough or is too soft, you may need bone grafting before you can have dental implant surgery. That’s because the powerful chewing action of your mouth exerts great pressure on your bone, and if it can’t support the implant, the surgery likely would fail. A bone graft can create a more solid base for the implant. In bone grafting, a piece of bone is removed from another part of your jaw or your body — your hip, for example — and transplanted to your jawbone. Another option is to use artificial bone (bone commercially available) to place in these areas. It may take several months for the transplanted bone to grow enough new bone to support a dental implant. In some cases, you may need only minor bone grafting, which can be done at the same time as the implant surgery. The condition of your jawbone determines how you proceed. Dental Implant, Cosmetic dentistry


Dental Bridges
Dental bridges literally bridge the gap created by one or more missing teeth. A bridge is made up of two or more crowns for the teeth on either side of the gap (these anchoring teeth are called abutment teeth) and a false tooth or teeth in between. These false teeth are called pontics and can be made from gold, alloys, porcelain, or a combination of these materials. Dental bridges are supported by natural teeth or implants. Bridges can:
- Restore your smile
- Restore the ability to properly chew and speak
- Maintain the shape of your face
- Distribute the forces in your bite properly by replacing missing teeth
- Prevent remaining teeth from drifting out of position
- Dental Implant, Cosmetic dentistry
Gum lift
A Gum lift is a cosmetic dental procedure that raises and sculpts the gum line. The procedure involves reshaping the tissue and/or underlying bones to create the appearance of longer or more symmetrical teeth.
Cosmetic dentistry in Iran
Iran is a country where you can find many dentists who are specialized in most fields of cosmetic dentistry. The Majority of Iranian cosmetic dentists are the members of “Iranian Society of dentists”, which is one of the oldest medical societies in the world. Moreover, most of them have also the memberships of other international medical societies such as the “American Society of cosmetic dentistry” . The great proficiency of Iranian dentists is because of their many years of training and experience in different fields of cosmetic dentistry. If you are hoping to find the best cosmetic dentists, you should pay Iran a visit and look for them. The cosmetic specialized dentists in Iran are the best and they operate procedures of all types such as dental laminates in the prices that can be easily afforded. It must be mentioned that the result of the cosmetic procedures will be amazing and satisfying.






